Из монографии "Мшанки отряда Fenestellida". Труды ПИН, Т. 277. М.: Геос, 2001. 177 с., c. 23-28.
И.П.Морозова
В процессе сравнительного морфофункционального анализа родов и видов мшанок отряда в пределах этой группы выявлено широкое распространение тесно связанных между собой явлений гомеоморфии и параллелизма, затрагивающих не только форму, размеры и структуру колоний, но нередко и внутреннюю анатомию скелета (табл. 1; рис. 16-19). В горизонтальных рядах таблицы указаны основные структурные типы колоний, повторяющиеся у родов разных семейств отряда: на рисунках изображены примеры изохронной и гетерохронной гомеоморфии, а также иллюстрированы отдельные проявления гомеоморфии в структуре колоний и анатомии скелетных элементов среди фенестеллид и мезозойско-кайнозойских мшанок (см. рис. 17).

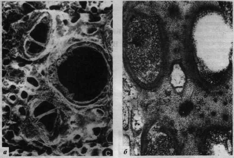
Рис. 16. Пример изохронной гомеоморфии у родов двух семейств в структуре сетчатых колоний и форме камер автозооециев палеозойских мшанок
а - Loculipora sp.; ПИН, экз. № 2880/68 (х20). США северная часть штата Нью-Йорк; средний девон, группа Гамильтон; 6- Flexifenestella sp.; ПИН, экз. № 691/59 (х20). Таймыр, русло руч. Водопадный; нижняя пермь
Гомеоморфия и связанный с ней параллелизм у мшанок отряда Fenestellida, по-видимому, являются результатом ярко выраженной модульной организации их колоний, близких в разных группах типов анцеструл и структуры камер автозооециев, прикрепленного (сидячего) образа жизни, сходных условий существования, а также общего происхождения всех филогенетических стволов отряда.
Распознавание формы проявлений гомеоморфии у мшанок - одна из фундаментальных проблем, так как на примере мшанок отряда Fenestellida можно видеть, как нераспознанная гомеоморфия служила и служит до сих пор основной причиной ошибок в его классификации.
Впервые на явления гомеоморфии у палеозойских мшанок обратил внимание Г.Н.Фредерикс. Не
будучи знаком с работой английского палеонтолога С.Бэкмена [Backmen, 1895], предложившего термин "гомеоморфия" для обозначения внешнего сходства различных по внутренней организации брахиопод, Фредерикc [1915] построил первые параморфные ряды для сетчатых мшанок нескольких позднепалеозойских родов с одинаковой формой колоний, но различными внутриколониальными признаками. Позднее, подчеркнув ошибочность выделения родов у мшанок и брахиопод лишь по внешней морфологии, он [1918, с. 553] опубликовал более полную синоптическую таблицу с гомологическими рядами сетчатых мшанок нескольких позднепалеозойских родов, в которой в вертикальных рядах расположил отличительные признаки внутреннего строения прутьев каждого из родов, а в горизонтальных описал их внешнюю идентичную морфологию. На основе своих исследований Фредерикс [1918, с. 548] заключил, что классификация родов, объединенных в семейство Fenestellidae, "чисто морфологическая и совершенно не отражающая генетических соотношений различных групп".

Рис. 17. Гетерохронная внутриколониальная гомеоморфия, выраженная в сходной структуре авикуляриев. а - фрагмент колонии современной мшанки с авикуляриями рода Schizoporella pseudoerrata Soule, Soule et Chaney; SBMNH, голотип № 222; Калифорния, современный. Репродукция [Soule, Soule, Chaney, 1995, pl. 76, fig. с]; б- участок колонии Fenestrapora transcaucasica Morozova et Lavrentjeva, ПИН, голотип № 1613/929. Закавказье, левый берег р. Арпа; средний девон, верхи эйфельского яруса
К сожалению, работы этого автора долгое время оставались незамеченными последующими исследователями палеозойских мшанок. В России на явления параллельного развития отдельных признаков у фенестеллид было обращено внимание только спустя ряд десятилетий [Dunaeva, Morozova, 1974].
Рассмотрев существующую систему мшанок отряда Fenestellida, относившуюся в то время к подотряду Fenestelloidea, Дунаева и Морозова обнаружили параллелизмы в структуре скелета разных родов, особенно ярко выраженные в параллельно развивавшихся на протяжении ряда периодов се-
мействах Fenestellidae и Polyporidae. В этих семействах нередко одновременно развивались одни и те же типы колоний, совершенно одинаковые по форме и структуре и отличающиеся лишь особенностями внутреннего строения.
В каждом из этих семейств упомянутые авторы выделили три типа колоний, аналогичных по структуре:
1) сетчатые, сложенные прутьями, несущими зооеции и латерально соединенными через правильные интервалы перекладинами без зооециев;
2) сетчатые, с анастомозирующими, несущими зооеции, прутьями, частично соединенными широкими короткими перекладинами;
3) ветвистые, сложенные прутьями, несущими зооеции, но лишенные перекладин.
На этом основании Н.Н.Дунаева и И.П.Морозова включили в состав указанных выше семейств по три подсемейства с гомологичной структурой колоний:
Сем. Fenestellidae
Fenestellinae Waagen et Pichl, 1885,
Reteporininae Dunaeva et Morozova,
Diploporinae Vine, 1883.
Сем. Polyporidae
Polyporinae Waagen et Pichl, 1885,
Reteporidrinae Dunaeva et Morozova,
Acanthocladiinae Zittel, 1880.


Рис. 18. Гомеоморфия в структуре сетчатых колоний и числе рядов автозооециев на прутьях у современной мшанки рода Triphyllozoon caspidatum Harmer (отряд Cheilostomida) из рифов Маршалловых островов и поздне-пермской Reteporidra hexagona (Netschajev) из биогермов казанского яруса севера Восточно-Европейской платформы
а, б - Triphyllozoon caspidatum: a - внешний вид колонии (х4), б - тангенциальное сечение фронтальной поверхности (х25). Репродукция [Cuffey, McKinney, 1982, fig. A-B]; в, г - Reteporidra hexagona (Netschajev): в - внешний вид колонии (х5), г - тангенциальное сечение (х20)

Рис. 19. Гетерохромная гомеоморфия среди мшанок разных отрядов с идентичной структурой сетчатых колоний и сходным расположением автозооециев на прутьях
а, б- Fenestulipora crassiformis (Harmer); Новая Зеландия; современный вид из Индийского океана: а - внешний вид колонии (х4), б- фронтальная поверхность колонии (х7). Репродукция [Taylor, Gordon, 1997, fig. la, 2a]; в, г - Fenestella (s.l.) Ирландия; нижний карбон, визейский ярус: в - внешний вид колонии (х4,5), г - фронтальная поверхность колонии (х!5). Репродукция [Tavener-Smith, 1965, pl. 7, fig. 7-8]; д, е - Esthonioporina quadrata (Bekker); Эстония; средний ордовик, лландейлский ярус: д — внешний вид колонии (хб), е — фронтальная поверхность колонии (х20). Репродукция [Лаврентьева, 1985, табл. XVIII, фиг. 1,2]
Эта классификация, дополненная еще двумя подсемействами - Hemitrypinae (сем. Fenestellidae) и Wjatkellinae (сем. Polyporidae), затем была приведена в монографии Р.В.Горюновой и И.П.Морозовой [1979]. Параллельно развивавшиеся, одинаковые по структуре типы колоний в указанных выше подсемействах, выдержанные на протяжении ряда периодов палеозоя, авторы считали важнейшими признаками подсемейств [Горюнова, Морозова, 1979, с. 49].
Позднее Р.В.Горюнова [1992, 1996] указанные выше подсемейства подняла в ранг самостоятельных семейств, при этом семейства Hemitrypidae и Wjatkellidae выделила в особый подотряд в составе отряда Fenestellida, отличающийся от других мшанок отряда развитием защитных сеток.
Однако полученные в процессе выполнения настоящей работы данные сравнительного морфо-функционального анализа всех родов и семейств отряда свидетельствуют об ошибочности выделения указанных выше подсемейств, так же, как и таксономических преобразований в отряде Fenestellida, предложенных Р.В.Горюновой.
Аналогия структурных типов колоний, а так же и их элементов, таких, например, как защитные сетки, отражают в этом отряде лишь морфологические параллелизмы, наблюдающиеся среди родов разных семейств (табл. 1).
Форма и структура колоний являются лишь одним из родовых признаков в отряде Fenestellida, но не могут служить главным отличием подсемейства.
Одной из причин ошибок в таксономии мшанок отряда Fenestellida, так же, как и других отрядов палеозойских мшанок, является отсутствие сведений о степени и характере гомеоморфии, до последнего времени остававшейся нераспознанной.
Значительный вклад в изучение форм проявления гомеоморфии у мезозойских мшанок внес известный немецкий палеонтолог Э.Фойгт. В его работах [Voigt, 1968, 1974, 1982; Voigt, Flor, 1970] описаны разные формы проявления гомеоморфии и гетероморфии среди меловых мшанок, что позволило ему и его соавтору внести существенные уточнения в класификацию отдельных семейств.
В последние десятилетия опубликован ряд работ зарубежных авторов, освещающих явления гетеро-хронной гомеоморфии среди морских мшанок фа-нерозоя. К ним относится работа Ф.МакКинни [McKinney, 1980a] об аналогии спирального роста колоний эвристомной мшанки рода Bugula с палеозойским родом Archimedes из отряда Fenestellida. П.Тэйлор [Taylor, 1987], описавший новый вид тубулипороидной мшанки рода Meliceritella из верхнемеловых отложений Германии с "фенестратной формой колонии", объяснял это явление как пример конвергентной эволюции и отметил широкое развитие у мезозойско-кайнозойских и современных мшанок структурных типов колоний, аналогичных колониям палеозойских мшанок семейства фенестеллид [Taylor, 1987, р. 75]. Заключение Тейлора подтвердили своими исследованиями Р.Каффи и Ф.МакКинни [Cuffy, McKinney, 1982], изучавшие современных мшанок из рифов Маршалловых островов Тихого океана. Они обнаружили среди хейлостомных мшанок вид рода Triphyllozoon из семейства Reteporidae с однослойной сетчатой колонией, на анастомозирующих прутьях которой ав-тозооеции располагаются в несколько рядов. Авторы отметили близкое сходство этой мшанки во всех деталях внешней морфологии с сетчатыми мшанками палеозойских фенестеллид. В самом деле, современная эвристомная мшанка рода Triphyllozoon оказалась очень близка по внешней морфологии к роду Reteporidra (рис. 18, фиг. а, б)
Удивительное сходство формы лировидных колоний эоценовых хорнерид (тубулипоридные мшанки) со структурой колоний нижнекаменноугольных родов Lyropora и Lyroporidra из отряда фенестеллида выявлено МакКинни, Тейлором и Зулло [McKinney et al., 1993].
В последнее время П.Тейлор и Д.Гордон [Taylor, Gordon, 1997] выделили новый род Fenestulipora из отряда Tubuliporida с типовым видом Tubulipora crassiformis Harmer, распространенным в современных акваториях Индонезии и Новой Зеландии, морфология скелета которого оказалась идентичной таковой у рода Fenestella (s.l.). Сравниваемые мшанки имеют не только аналогичную структуру сетчатых колоний, но и однослойное расположение двух рядов автозооециев на прутьях, открывающихся устьями на фронтальной стороне колонии.
Следует отметить, что свойственная этим мшанкам структура сетки наиболее распространена в отряде Fenestellida. На рис. 19 вместе с описанным Тэйлором и Гордоном родом изображены два рода из двух палеозойских отрядов, идентичных как по структуре колонии, так и по внешней морфологии прутьев с двумя рядами автозооециев. Отличительными признаками для этих родов служит различная морфология камер автозооециев и полиморфизм, имеющие определяющее значение в таксономии мшанок.
Тем не менее, у мшанок отряда Fenestellida известны случаи, когда гомеоморфия не только затрагивает структуру колонии, но и выражается во внешнем сходстве формы и размера камер автозооециев. На рис. 16, фиг. а-б изображены роды Loculiрога и Flexifenestella, с анастомозирующими прутьями и двурядным расположением автозооециев, имеющих в среднем тангенциальном сечении почти одинаковую форму. Между тем, первый из этих родов принадлежит к семейству Semicosciniidae, отличаясь от второго рода высоким сплошным гребневидным килем, образующим защитную сетку над фронтальной поверхностью колонии. Второй род относится к семейству фенестеллид. Ряды автозооециев в колониях этого рода разделены килевыми бугорками, а в камерах зооециев нередко развиваются гемисепты, отсутствующие у семикосциниид.
Этот и другие примеры показывают, что гомеоморфия и параллелизм весьма затрудняют установление родственных связей между родами фенестеллид - выявление отличий независимо приобретенных признаков от генетических и, следовательно, разработку естественной классификации этой группы мшанок.